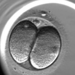
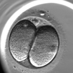
Pour l’évaluation de la qualité des embryons on utilise la méthode d’analyse morphologique. Les embryons sont évalués selon les critères suivants : la quantité des blastomères, l’égalité des blastomères et la présence de fragmentation (des blastomères normaux qui ont été détruits). Cependant, cette méthode qui est la plus ancienne a ses inconvénients, elle est subjective (elle dépend de l’expérience et du niveau de l’embryologiste), un embryon est extrêmement variable durant son développement un embryon de mauvaise qualité de deux jours peut se transformer en un bel enfant en bonne santé. En ce moment, on utilise une nouvelle méthode d’évaluation de la qualité des embryons c’est l’embryoscopie. Son principe est le suivant : toutes les 10 ou 20 minutes on prend une photo de l’embryon en 7 couches, avec l’utilisation d’un programme informatique, on applique les images l’une sur l’autre pour en faire une video, c’est « le résumé » de chaque embryon. Avec l’utilisation d’un programme informatique spécifique, on mesure les paramètres clés du développement embryonnaire :
Le moment de la première division ;
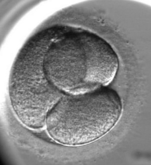
Le commencement de la deuxième division (l’apparition du troisième blastomère)
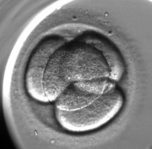
La fin de la deuxième division (l’apparition du quatrième blastomère)
La simultanéité de la deuxième division (le moment entre l’apparition du troisième et du quatrième blastomère) Le commencement de la troisième division (l’apparition du cinquième blastomère)
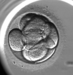
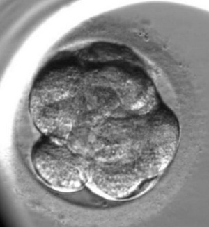
La fin de la troisième division (l’apparition de huit blastomères)
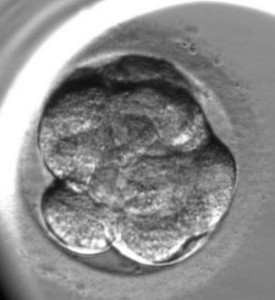
Le commencement du compactage de l’embryon
L’apparition d’une cavité dans l’embryon (le commencement d’une blastulation)
On procède à l’analyse informatique avec l’enregistrement du développement embryonnaire (la fréquence des images est d’une une fois toutes les 20 minutes).
L’enregistrement du développement de l’embryon est le suivant :
Le principe de l’analyse des données est présenté dans le schéma suivant :
Toutes les données recueillies sont analysées par un programme informatique sur un algorithme particulier et on détermine la valeur de chaque embryon, c’est-à-dire la probabilité d’implantation et de la naissance d’un enfant saint.
Quelles sont les principaux avantages de l’embryoscopie ?
- L’analyse non invasive (sans perturber l’embryon) précise de la qualité des embryons.
- La possibilité d’effectuer un transfert sélectif d’un embryon avec la conservation de la fréquence de la grossesse qui est réalisé par le transfert de deux embryons.
- La possibilité d’effectuer l’analyse rétrospectif du cycle en cas d’échec et de choisir une bonne stratégie pour le cycle prochain.








